Publish on May 29, 2025
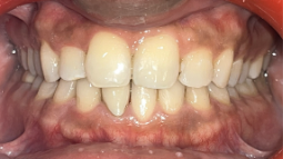
Jeetan, a 25-year-old male, presented with a chief complaint of overlapping front teeth, which not only affected the appearance of his smile but also caused difficulty in chewing. Concerned about both function and esthetics, Jeetan was looking for a solution that was effective yet minimally invasive.
After a thorough clinical assessment, a strategic non-extraction treatment plan using Illusion Aligners PRO was recommended. The goal: to align his teeth, improve bite function, and enhance his overall smile — all without the need for brackets, wires, or tooth removal.
This case study showcases how Illusion Aligners can deliver precise, comfortable, and aesthetically pleasing results, transforming not just smiles but lives.
Orthodontic treatments are known for improving both function and appearance. This results in improved self confidence. By addressing issues like misaligned teeth and bite problems. These treatments help in better chewing, speaking, and overall oral health. Clear aligners, such as Illusion Aligners, offer a discreet and effective solution for achieving a well aligned smile. Correcting smile without the need for metal braces.

A 25-year-old male patient reported with a chief complaint of overlapping front teeth. He expressed concerns with difficulty in chewing and smile’s appearance.
This case study outlines the strategic non extraction approach. This is designed to transform his smile and resolve his issues using Clear Aligners.
A comprehensive oral examination shows an Angles Class 1 molar relation with unilateral anterior cross bite. There was asymmetric overjet and overbite with anterior crowding in upper and lower arches.

| UPPER ARCH | |
|---|---|
| (i) | Proclination of the lateral incisor. |
| (ii) | Establish positive overjet. |
| (iii) | Relieve upper crowding. |
| LOWER ARCH | |
|---|---|
| (i) | Relieve lower anterior crowding. |
| (ii) | Achieve symmetric overjet and overbite. |
The treatment plan utilized a non extraction approach to address the patient’s concerns. The primary goal was to correct maxillary anterior crossbite along with relief in both upper and lower arch crowding. Furthermore, the treatment aimed at achieving symmetric overjet and overbite.
These corrections not only improve his smile but also contribute to a more functional bite.
This orthodontic treatment utilized 15 sets of Illusion aligners over a 5-month period. Illusion aligners were crafted from advanced materials making them invisible during wear. These aligners were designed to gradually reposition the upper right lateral incisor and align the lower anterior teeth, keeping the treatment objectives in mind.
Throughout the treatment, one refinement phase was needed. This was done to achieve a symmetric overjet and overbite.
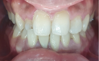
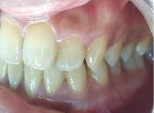
The orthodontic treatment successfully corrected the patient’s anterior crossbite, aligning both upper and lower arches. This intervention resulted in a symmetric overjet and overbite, enhancing his smile aesthetics and overall oral function.

This orthodontic treatment addressed issues concerning the patient using a non extraction approach. Illusion Aligners were delivered to achieve the treatment objectives as it provides aesthetic look and superior quality. The results included successful crossbite correction and alignment of both the arches. The establishment of symmetric overjet and overbite was achieved as well.
These improvements not only improved the patient's smile but also contributed to a more functional and balanced occlusion.
