smile-correction-treatment

Publish on Jan 22, 2026

Complex Smile Correction with Illusion Aligners FLX

Credit: Dr. Manav Kalra

About this case:

A young male presented in the dental clinic with multiple orthodontic challenges:

  • 2 congenitally missing upper lateral incisors
  • 1 retained deciduous tooth in the upper arch
  • Severe bite imbalance due to missing teeth
  • Spaced upper arch with slight proclination, leading to aesthetic and functional concerns

The patient was highly self-conscious about his smile and desired a discreet, non-metallic solution.

Consequences of Delaying Treatment

Delaying treatment in such a case could have led to:

  • Worsening of bite imbalance, making future alignment more complex
  • Drifting of teeth in the upper arch, complicating future restorative or orthodontic options
  • Asymmetrical smile with esthetic disharmony due to shifting and overeruption
  • Psychosocial impact, particularly at a sensitive age, affecting self-esteem and social confidence

Early intervention was critical to simplify treatment and deliver optimal long-term results.

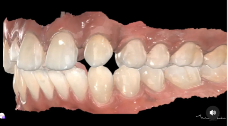
Result 1

The Treatment Journey

The case was approached using Illusion Aligners FLX, enhanced by iTRACK multilayered material. The treatment plan included:

Strategic Planning

  • Comprehensive digital scans and 3D simulations
  • Virtual setup for canine substitution with missing laterals in the upper arch
  • Decision to extract lower premolars for space creation and bite alignment
  • Sequential Illusion Aligners FLX designed to guide precise tooth movement

Treatment Duration

  • Total Treatment Time: 14 months
  • Patient Compliance: Excellent (22 hours/day aligner wear)

The results:

The transformation achieved was both functional and aesthetic:

Area Outcome
Upper Arch Closed spaces, reshaped canines in place of missing laterals, harmonious smile
Lower Arch Fully aligned teeth with resolved bite imbalance and well-managed extraction spaces
Bite Stable, functional, and well-balanced occlusion
Aesthetics Natural-looking smile with improved facial symmetry
Comfort Zero discomfort, smooth treatment experience
Confidence Significant boost in self-esteem and smile confidence
Result 1

Why Choose Illusion Aligners FLX?

  • Flexible iTRACK material:

    Multilayered design offered controlled, consistent force delivery
  • Patient Comfort:

    Smooth edges and gentle movements ensured a pain-free journey
  • Discreet Aesthetics:

    Virtually invisible aligners gave the patient confidence to smile even during treatment
  • Precision Planning:

    Digital simulations allowed detailed visualization of each movement and final results
  • Adaptability:

    Handled complex movements involving missing teeth and extractions with ease

The Illusion Impact

This case is a powerful example of how Illusion Aligners FLX can manage even complex orthodontic cases involving:

  • Congenitally missing teeth
  • Extractions
  • Crowding and spacing in the same case

All without wires, brackets, or compromise.

In just 14 months, the patient achieved a functional bite, confident smile, and a transformed outlook. This case is the proof that even tough cases can be treated beautifully with the right clear aligner system.

You may also like