Transformation

Publish on May 29, 2025

A Non-Extraction Approach in Orthodontic Treatment to Correct Smile

Case Study: Kayleigh Conway

This case highlights the successful orthodontic treatment of a Kayleigh Conway, a 28-year-old female patient who presented with overlapping anterior teeth, crowding in both arches, and difficulty maintaining oral hygiene. She was also concerned about the appearance of her smile. Following a comprehensive evaluation, clear aligner therapy was planned and initiated without the need for any tooth extractions. The case was effectively managed using Illusion Aligners, resulting in improved alignment, oral hygiene, and overall smile aesthetics.

INTRODUCTION

Non-Extraction Philosophy: The approach emphasized using arch development to widen the dental arches and create space, avoiding the need for tooth extractions.

This case study highlights the importance of careful planning, customized aligner therapy, and the non-extraction approach in achieving excellent results in orthodontic treatment. By focusing on arch development and sequential decrowding, we can avoid extractions while still achieving improvements in both function and appearance.

ABOUT THE CASE

This case study details the orthodontic treatment of a 28-year-old female patient, who sought treatment for overlapping front teeth, crowding in both the upper and lower arches of the jaw, and difficulties in maintaining oral hygiene. She also expressed dissatisfaction with her smile aesthetics.

Pre-Treatment

Result 3

DIAGNOSIS

A comprehensive examination revealed the patient has Angle's Class I Malocclusion, characterized by crowding and rotated teeth in both the maxillary and mandibular arches.

TREATMENT PLANNING

The main objective of the treatment plan was to correct the crowding and rotated teeth while improving both the aesthetics and functionality of the smile.

General Approach: Non-extraction treatment.

Key Treatment Goals:

  • Correct rotation and crowding in both the upper and lower arches.
  • Expand the arches to create space without removing teeth.
  • Achieve a balanced and symmetrical overbite and overjet.
  • Improve aesthetics and ease of oral hygiene maintenance.

TREATMENT APPROACH

A non-extraction approach was employed to correct the patient's smile and enhance oral hygiene, focusing on arch development and sequential decrowding. Treatment consisted of staged interventions in both the upper and lower arches. In the upper arch, Stage 1 involved expansion of the canine-premolar region to create space for anterior alignment and relieve crowding. Stage 2 focused on correcting severe rotations of teeth #11, #21, #12, and #22. In the lower arch, Stage 1 entailed the expansion of the canine-premolar region to develop space for improved canine alignment, with the goal of achieving symmetric overjet and overbite.

EXECUTION OF THE TREATMENT

Aligner Therapy:

The treatment used Illusion Aligners, which were planned and executed in several stages.

  • Initial Aligners:
    • Upper: 18 aligners.
    • Lower: 10 aligners.
  • Refinement Stages:
    • Refinement 1
      • Upper: 8 aligners.
      • Lower: 6 aligners.
    • Refinement 2
      • Upper: 4 aligners.
  • Total Treatment Duration: 8 months.

The aligners were customized for the patient’s specific dental issues, including rotations and crowding. The focus of the treatment was to create space for proper tooth alignment and ensure that the arches were balanced.

REFINEMENT PHASE

After the initial phase of treatment, the patient’s teeth were further refined to ensure optimal positioning. The refinements focused on:

  • Fine-tuning the alignment of the teeth, particularly in the anterior regions.
  • Making minor adjustments to ensure that the midlines were aligned.
  • Ensuring the bite (overjet and overbite) was symmetrical and functional.

TREATMENT RESULTS

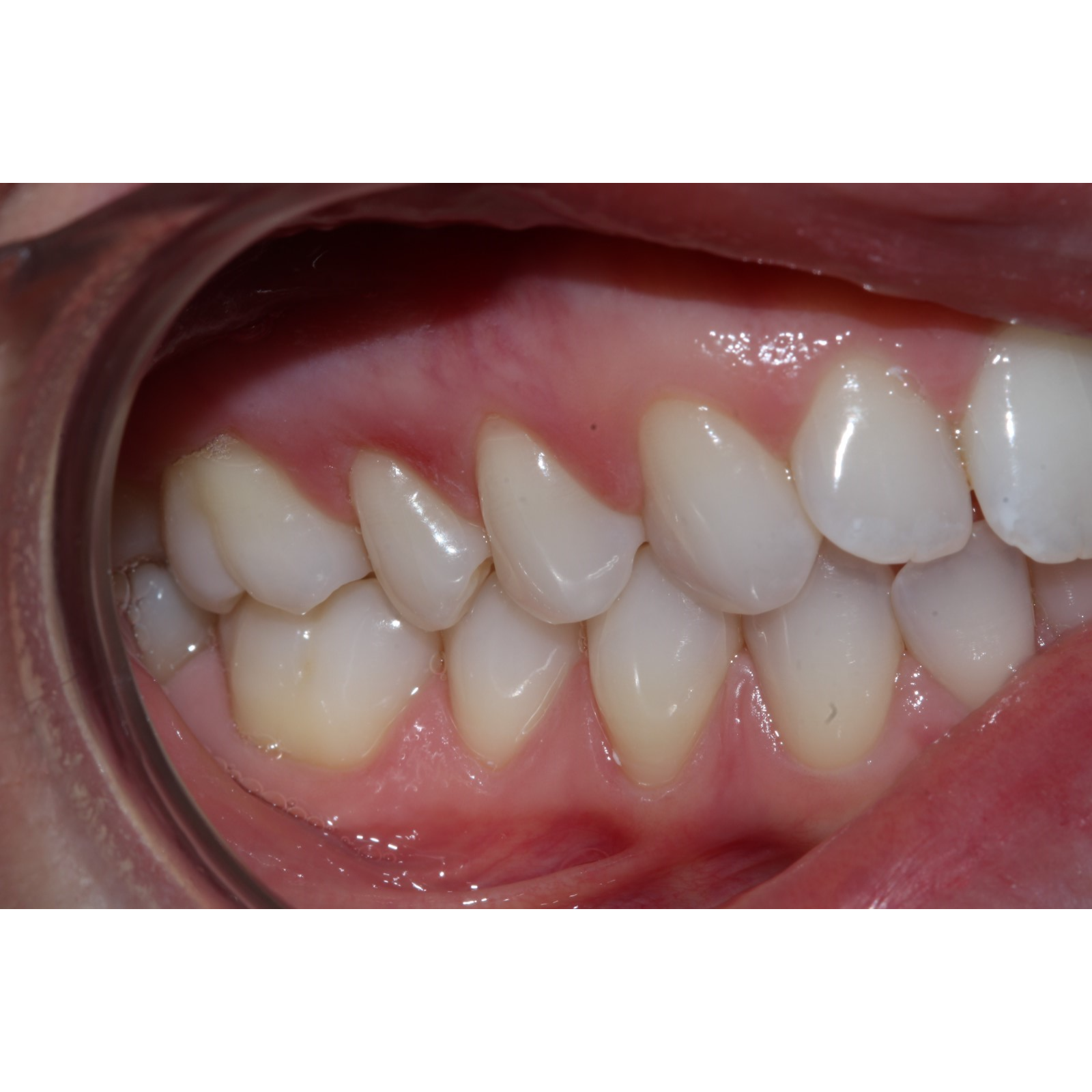
The treatment yielded exceptional outcomes, including decrowding of anterior teeth, correction of severe rotations, and alignment of midlines in both arches. A symmetric overjet and overbite were achieved, improving the patient's functional bite. The treatment also addressed the patient’s primary concern of oral hygiene and improving their smile.

RETENTION PHASE

Result 1

To prevent the teeth from shifting back to their original positions, the retention protocol was implemented. Both upper and lower arches received fixed retainers to maintain the alignment of the teeth. In addition to the fixed retainers, the patient was advised to use removable Essix retainers for supplementary retention.

CONCLUSION

This case is a prime example of the effectiveness of a non-extraction orthodontic approach in treating adult patients with crowding and rotational issues. The use of Illusion Aligners allowed for precise control of tooth movement while also improving the patient's smile aesthetics and oral hygiene. Successful treatment achieved both functional and aesthetic goals, providing the patient with a more attractive, healthier smile and greater confidence in her appearance.

Let’s go through the clinical results obtained at the end of the treatment.

Result 1

You may also like